DEFORMIDAD DIGITAL: ABORDAJE QUIRURGICO MEDIANTE ARTROPLASTIA DE LA FALANGE PROXIMAL
La deformidad digital de los dedos menores es cada vez, una patología de mayor demanda quirúrgica en las consultas podológicas y no debe ser considerado un problema menor, porque el dolor y la deformidad pueden tener un impacto significativo en la calidad de vida del paciente. A mediados de siglo veinte fue registrado con un 20% de incidencia en la población según Mann sin diferencias significativas entre sexos, manteniéndose en estudios actuales con un 20% de incidencia pero siendo reportadas con mayor frecuencia en mujeres y en aumento con la edad . Estos datos, no dejan indiferentes ya que constatan la existencia presente de esta deformidad, por lo que no se le debe dar menos importancia en relación a otras patologías osteoarticulares del pie, reafirmando así, la necesidad de realizar un buen abordaje quirúrgico, valorando las necesidades del paciente y teniendo en cuenta las indicaciones y contraindicaciones de las técnicas apropiadas, para una correcta praxis.
Hay cierta confusión en la nomenclatura de las deformidades de los dedos menores, generalizando mediante el nombre de “deformidades en garra” según Schrier y asociados. Los dedos en garra propiamente dichos, afectan a la articulación metatarso-falángica (AMTF), interfalángica proximal (IFP) y a la articulación interfalángica distal (IFD). Hace falta remarcar que hay una subclasificación (Coughlin,MG) dentro de la deformidad en garra, que comprende el dedo en garra, el dedo en martillo y el dedo en mazo, aunque las deformidades resultantes son probablemente parte del mismo proceso patológico y por lo tanto serán tratadas de una manera similar.
Los dedos en martillo se definen como la flexión de la interfalángica proximal (IFP) con o sin participación de la articulación interfalángica distal (IFD), mientras que los dedos en garra se definen como la extensión de la articulación metatarsofalángica (AMTF), conjuntamente con la flexión de las articulaciones IFP y IFD. Además, estos últimos frecuentemente se asocian con alteraciones neuromusculares, y por lo general implican una condición bilateral sin preferencia de afectación de los dedos; en contraste, con los dedos en martillo que tienden a producirse de forma aislada, siendo el segundo dedo el más comúnmente afectado (Canale ST). Una tercera clasificación, describe los dedos en mazo, estos se presentan con menos frecuencia que los dedos en martillo (ratio 1:9) (Hetherington VP) . La deformidad frecuenta en un dedo del pie que sea más largo que los dedos adyacentes, pero se produce con la misma frecuencia tanto en el segundo, tercer y cuarto dedo, siendo definido como la flexión de la articulación interfalángica distal (IFD) sin alteración de las interfalángica y articulación metatarsofalángica.
Fisiopatológicamente, hay una gran relación entre la deformidad y los patrones anatómicos (miotendinosos principalmente), surgiendo así tres modelos patomecánicos de la deformidad digital que muestran los disbalances musculares posibles: modelo de sustitución flexora, extensora y de estabilización flexora. A la vez, la importancia que tiene la función de los músculos intrínsecos durante la estabilización de los dedos durante la deambulación, ha llevado a diferentes autores, entre ellos, Hetherington, a distinguir las deformidades digitales en estáticas y en las dinámicas.
El modelo de estabilización flexora, ocurre cuando existe una ventaja mecánica del flexor largo común de los dedos (FLCD) y/o el flexor corto común de los dedos (FCCD) sobre los interóseos en el periodo de apoyo medio de la marcha. Así, los interóseos son incapaces de estabilizar el dedo. Root et al. Observaron que un pie pronado provocaba que el cuadrado plantar perdiese su ventaja mecánica, no traccionando el aparato flexor lateralmente, lo cual provoca una garra y la rotación en varo del cuarto y quinto dedo. El modelo de sustitución flexora, se produce cuando existe una disfunción o debilidad del tríceps sural. Es la menos frecuente de las tres. Esta precoz y sostenida actividad provoca que el grupo flexor gane fácilmente ventaja mecánica sobre los músculos interóseos, causando la contracción de los dedos, que será manifiesta en el periodo final del apoyo medio y comienzo del periodo propulsivo.
Estas son consideraciones extremadamente importantes cuando nos proponemos realizar un procedimiento sobre los tejidos blandos. Esto hace que tenga poco sentido realiza tenotomías de los extensores cuando la estabilización flexora o la sustitución flexora es la causa primaria de la deformidad de los dedos. El modelo de sustitución extensora, sucede cuando el extensor largo común de los dedos (ELCD) gana ventaja mecánica sobre los músculos lumbricales e interóseos en la fase de balanceo de la marcha. Sarrafian y Topouzian describen la gran importancia del aparato extensor en las deformidades digitales, mediante el denominado “Extensor wing mechanism” y el “The sling mechanism of extensión” . Pasivamente, los tendones flexores realizarán una flexión plantar de las articulaciones interfalángicas, juntamente con un aumento de la pronación subtalar, produciendo una marcada abducción del antepié. En estas condiciones, el cuadrado plantar pierde su vector lateral realizando fuerza únicamente en dirección proximal. Con abducción del antepié, el cuadrado plantar es incapaz de corregir la oblicuidad medial del tendón flexor largo de los dedos. También puede ser provocada por una dorsiflexión inadecuada del tobillo como resultado de un tendón de Aquiles corto o una anomalía ósea que permite un equino de tobillo, o bien, por la presencia de unos músculos lumbricales débiles o la espasticidad del extensor largo de los dedos. Comprender la patomecánica de estos modelos de deformidad, será de vital importancia en intervenciones quirúrgicas sobre tejidos blandos.
Muchas de estas deformidades serán tratadas con éxito con métodos conservadores, pero en función de la gravedad de la deformidad y de si esta es fija o flexible, mediante la exploración clínica previa con diferentes procedimientos evaluativos y tests de reductibilidad (Kelikian AS), encontraremos una serie de opciones quirúrgicas factibles para solventar el problema. Su corrección se puede lograr utilizando una progresión, paso a paso, de los procedimientos de tejidos blandos, procedimientos óseos, o una combinación de ambas.
En el caso clínico se expone el caso de un dedo en martillo irreductible, con afectación de la articulación interfalangica proximal y retracción de partes blandas. Se efectuará mediante un abordaje longitudinal, una artroplástia de la cabeza de la falange proximal mediante la técnica de Hammer e implantación de aguja Kishner intramedular temporal. También se evaluará el dolor pre-quirúrgico y post-quirúrgico mediante la escala de dolor AOFAS y se hará un seguimiento de las posibles complicaciones durante tres meses.
CASO CLINICO
Paciente de 83 años de edad con algias a nivel de la segunda cabeza metatarsal, tanto dorsalmente como plantarmente en pie derecho (duración del dolor “intermitentemente desde hace 5 años, pero más acusado durante los últimos 6 meses”). Presenta antecedentes de hipertensión, hipercolesterolemia y osteoporosis, siendo su medicación actual la toma de Enalepril 5mg, Orfidal 1mg, Netecal 600mg, Adiro 100mg y Zocor 20mg. Sin alergias conocidas y refiere que no ha llevado nunca ningún tratamiento ortopédico. A la exploración clínica se observa un 1er radio con movilidad normal y sin signos de dolor, mientras que en la exploración del segundo radio presenta dolor a la presión disto-proximal y próximo-distal de la cabeza metatarsal, a la presión directa de la cabeza metatarsal y de la articulación interfalángica proximal, dando positivo al test de Keliquian y Mulder, por lo tanto la AMTF no está luxada. A la movilización de la art metatarsofalángica del segundo radio no se percibe una limitación pero sí a la movilización en flexión plantar, siendo su rango de movimiento en fase 0 tanto en la valoración normal como en estrés vertical. La posición del metatarsiano respecto al plano frontal es evaluado en plantar-flexión. La articulación interfalángica próximal presentan una mobilidad limitada también en flexión dorsal y flexión plantar, por lo tanto, irreductible y con rango en fase 3 en la prueba de estrés vertical, mientras que la articulación interfalángica distal presenta una movilidad normal.
A la palpación de dicha articulación interfalángica proximal se notaba una protuberancia ósea dorsal y la existencia de un gran heloma dorsal, a la vez se podía observar la contractura del extensor largo común de los dedos.
En el examen radiológico, se le realizó una proyección dorso-plantar en carga y una lateral, donde se podía apreciar la luxación de la articulación interfalángica proximal y una formula metatarsal de índex minus. A la paciente se le diagnóstico dedo en martillo irreductible y se le expuso la opción de operar. La técnica de intervención fue una artroplastia con fijación mediante aguja de Kirschner conjuntamente con una tenotomía del Extensor largo de los dedos por técnica MIS (mínima incisión). Se realizó la documentación necesaria (derecho de imagen, consentimiento informado, analítica y radiografías) y se le explicaron las pautas a seguir antes y después de la intervención.
Se le realizó a la paciente asepsia del pie y se preparó el campo quirúrgico. Se le aplicó anestesia troncular con Mepivacaína al 3% a nivel del segundo dedo, infiltrando en la rama medial, lateral y dorsal a nivel de la articulación metatarso-falángica y además, dos refuerzos cruzados de planto- medial a dorso-lateral y a la inversa. Se le administraron 0,9cc en total.
El abordaje mediante la artroplástia de resección empieza con una incisión con obertura longitudinal siendo ésta a nivel de la articulación interfalángica con bisturí del número 15 abarcando gran parte de falange proximal y falange media. La primera incisión con el vientre del bisturí y la segunda mediante toques con la punta de este. Se realizó la disección por planos empezando por la epidermis, el tejido subcutáneo y fascia superficial hasta llegar a la fascia profunda, utilizando un mosquito por el lado medial y por el lado lateral de la incisión. Cauterizaremos los vasos sanguíneos superficiales y seccionaremos el tendón ELCD.
Una vez liberado de adherencias la articulación, procedemos a realizar la capsulotomía de la capsula articular mediante una L invertida con bisturí del 15º Se procederá a la sección de los ligamentos colaterales que se encuentran uniendo ambas falanges para poder exponer la cabeza de la falange proximal mediante un elevador de Mcglamery. Seguidamente realizaremos la resección de la cabeza de la falange proximal mediante cizallas de hueso y procederemos a su remodelado con lima de Joseph, para eliminar posibles aristas dorsales que podría provocar dolor postquirúrgico. Finalmente la articulación se evalúa para determinar si se ha reubicado adecuadamente en el plano sagital. Al comprobar una ligera retracción en extensión de l dedo, procedemos a realizar la tenotomia del extensor largo del segundo dedo.
Después de la resección de la superficie articular, se introduce una aguja de Kischner a través de la falange media y de la falange distal para inmobilizar la punta del dedo del pie, y seguidamente la aguja de Kischner es revertida hacia la falange proximal. Comprobaremos mediante fluoroscopia la ubicación de la aguja Kisrchner. Suturaremos por planos a tensión mediante hilo reabsorbible de 5/0 en capsula, con 4/0 reabsorbibles el tejido subcutáneo y suturaremos piel mediante seda de 3/0. Se le aplica un vendaje con gasas cubriendo el dedo intervenido y realizando un arco anterior para la sujeción correcta de la formula metatarsal.
Al terminar la intervención se le administró al paciente un Nolotil 575mg y se le pautó terápia farmacológica basada en Ibuprofeno 600mg cada 8h/7días y en caso de dolor Nolotil 675mg. No se le realizó radiografía postquirúrgica. El seguimiento postquirúrgico se realizó durante los 3 meses siguientes a la operación. En la primera cura a las 48h, se le retiró el vendaje y no se observó ningún signo de inflamación ni infección, con un proceso correcto de cicatrización. Se le aplico povidona iodada y vendaje. La puntuación de dolor según la escala AOFAS fue de 36 puntos sobre cuarenta, donde muestra gran mejoría respecto al prequirúrgico donde los resultados fueron a la 2n cura (7 días siguientes) se le retiraron los puntos de sutura y se aplicaron tiras de aproximación por prevención, presentaba buen aspecto y se le aplico povidona iodada y vendaje.
A la 3ª cura se le extrajo la aguja-K. No ha presentado mala fusión del hueso ni inestabilidad.

Dedo en martillo irreductible. Afectación de la articulación interfalángica proximal. Visión dorso-plantar.

Dedo en martillo irreductible. Afectación de la articulación interfalángica proximal. Visión lateral.

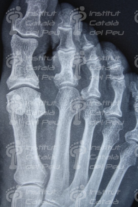
Proyección dorso-plantar en carga. Observe la luxación de la articulación interfalángica proximal del segundo dedo.

Anestesia troncular con Mepivacaina al 3% a nivel de la articulación metatarsofalángica del segundo dedo. Rama medial.

Anestesia troncular con Mepivacaïna al 3% a nivel de la articulación metatarsofalángica del segundo dedo. Rama dorsal.





















Deja un comentario
¿Quieres unirte a la conversación?Siéntete libre de contribuir!